Implante

Implante

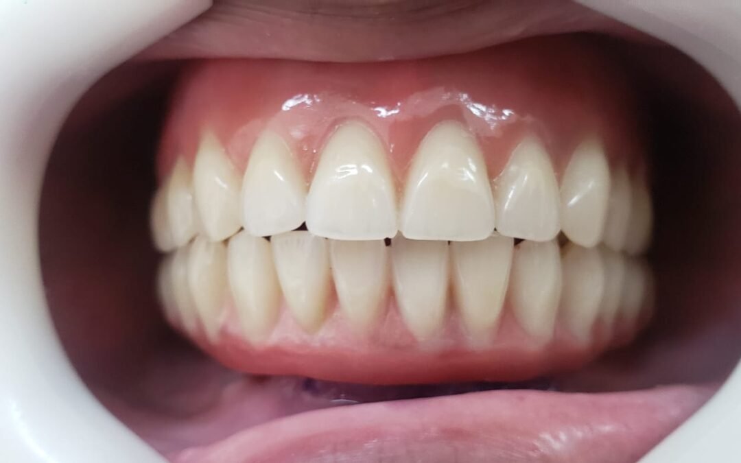
Implante Vejam este implante. O cliente ficou super satisfeito com o resultado. Vamos renovar o seu sorriso??? Ligue ou envie uma mensagem e agende sua consulta Pesquisar por: Posts recentes Implante PROTOCOLO DE BRANEMARK Clareamento a Laser existe? Arquivos maio...
PROTOCOLO DE BRANEMARK

PROTOCOLO DE BRANEMARK

PROTOCOLO DE BRANEMARK Realizar sonhos é sempre um grande motivo de comemoração!Hoje quero mostrar para vocês esse caso maravilhosoPaciente procurou a Odonto Alvim em busca de confiança para voltar a sorrir, conversar e se alimentar de forma confortável e segura,...
Clareamento a Laser existe?

Clareamento a Laser existe?

Clareamento a Laser existe? Muitos pacientes chegam no consultório querendo fazer o famoso Clareamento à laser,mas ele não existe Hoje em dia os géis utilizados para o clareamento não precisam da ação da luz para serem ativados ⁣⁣⁣ Basicamente existem duas técnicas de...